Зараз Україна живе в новій реальності. Карантин на загальнонаціональному рівні оголив всі ті проблеми (соціальні перш за все, а також медичні, освітні, логістичні та управлінські), на які закривали очі протягом всіх років незалежності. Нова реальність дуже недружелюбна до громадян країни, всюди чекають каверзи. Особливо ворожа ця «посткарантинна» реальність до споживачів медичної допомоги. Адже середньостатистичного українця десятиліттями запевняли, що з цим у нас все ок, ми попереду планети всієї. Все профінансовано, всім забезпечені, все вилікуємо. Далі на izaporizhets.
Нічого і нікому
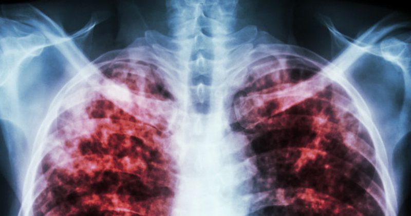
Як виявилося, не профінансовано майже нічого. Чи не забезпечені майже нічим. Ну а про здатність вилікувати що-небудь важче банального неускладненого ГРВІ (і то не завжди) говорити навіть смішно. Реформа від Уляни Супрун остаточно підкосила медицину на всіх без винятку рівнях, але особливо сильно дісталося спеціалізованим стаціонарам. Вони були засновані і існували не просто так, заради розваги, а тому, що ті хвороби, від яких лікували в їх стінах, являють собою особливу небезпеку для оточуючих. Яскравим прикладом тому може служити туберкульоз – дуже контагіозне (заразне) інфекційне захворювання,що часто приводить до смерті або інвалідизації хворого (а при відсутності своєчасного адекватного лікування – майже завжди). У здоровому розумі і тверезій пам’яті ніхто з нас не хотів би їздити з хворим на сухоти (саме так раніше називали туберкульоз) в транспорті, слухати його кашель із задишкою із сусідньої квартири, робити покупки в тих же магазинах, і так далі. Але в уряду реформаторів для вас погані новини. З першого квітня, тобто рівно два тижні тому, три з чотирьох протитуберкульозних диспансерів в Запоріжжі закрилися назавжди. В єдиному, що залишився, скоротили кількість ліжок – більш ніж в два рази – гуляти так гуляти. Медичний персонал (кваліфіковані і досвідчені лікарі, медичні сестри та відповідальні санітарки) здебільшого вигнані на вулицю (не вписалися в ринкову економіку і реформу, так би мовити), а іншим обіцяють платити в кращому випадку мінімалку. З огляду на ризик для життя, вони звільняються самі. Просто кладуть заяви на стіл.
Сценарій для блокбастера
Хворі надані самі собі. Їх виписали зі стаціонарів (кілька сотень людей, до речі) і розпустили по домівках. Магазини, транспорт, школи і садочки після карантину – зустрічайте! За статистикою, в середньому один хворий на відкриту форму туберкульозу може заразити до десятка здорових до (увага!) виявлення і потрапляння на лікування. Оскільки потрапляти вже нікуди, все закрито, цифру сміливо множте на … А хто ж його знає? На багато. Там, де був один хворий, стане сотня. Де було кілька сотень виписаних зі стаціонару – рахуйте самі, вже дуже похмуро виходить. При функціонуючій системі протитуберкульозних диспансерів Україна як могла стримувала оголошену у нас Всесвітньою організацією охорони здоров’я епідемію туберкульозу. Тепер, мабуть, не зможе.
О, чудовий новий світ. Цікаво, скільки людей, справних платників податків, має померти від туберкульозу, щоб держава звернула на це свою увагу?
